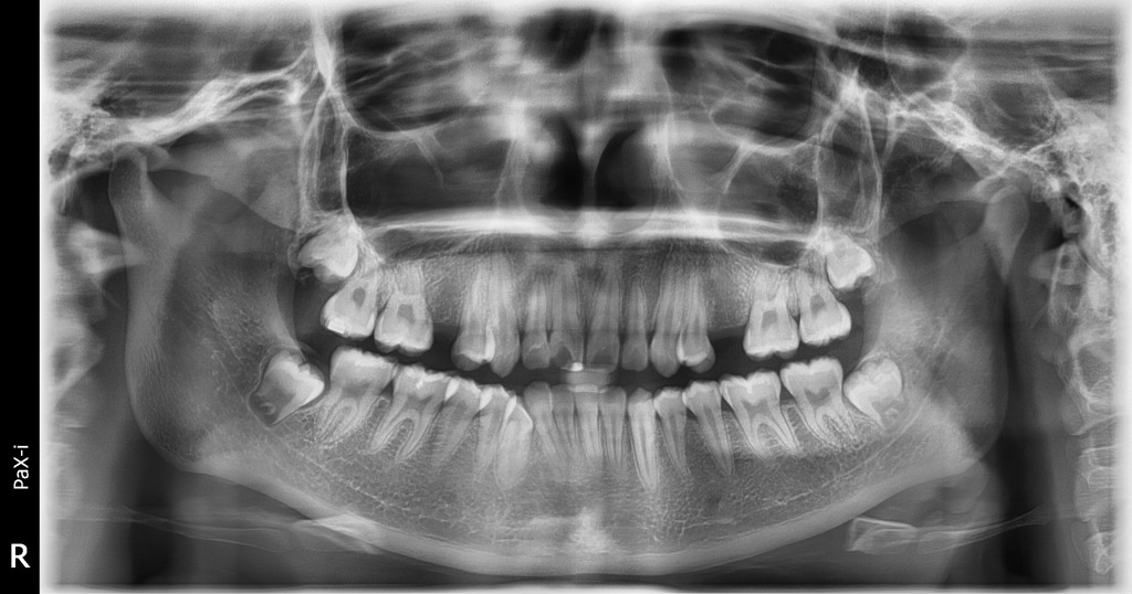
RADIOGRAFÍA

PANORÁMICA

  • Muestra en una sola toma toda la estructura bucal.
  • Planificación de tratamientos.
  • Detección temprana de problemas
  • Detección de problemas óseos.
  • Es una toma rápida no invasiva.

No es solo una radiografía, es un paso al bienestar

PANORÁMICA

OTROS SERVICIOS

SERIE FOTOGRÁFICA COMPLETA

SERIE FOTOGRÁFICA COMPLETA

PANORÁMICA

PANORÁMICA