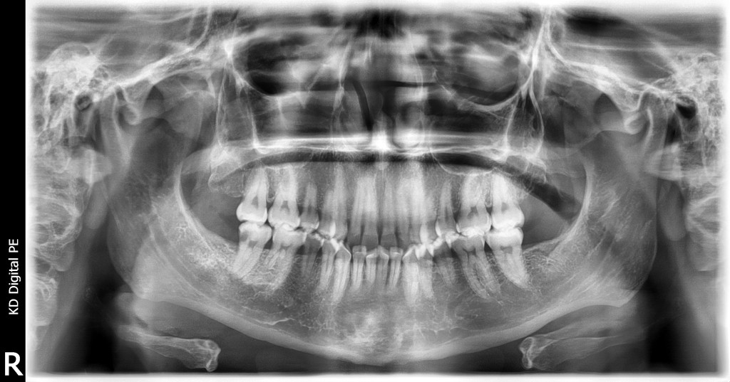
RADIOGRAFÍA

PANORÁMICA A BOCA CERRADA

  • Te permite analizar la Interrelación Dental y Maxilar en Relación Céntrica.
  • Realizar Valoración Ortodóntica y Cirugía.
  • Realizar trazados Cefalométricos.

PANORÁMICA A BOCA CERRADA

OTROS SERVICIOS

CARPAL

CARPAL

PAQUETE DE IMPLANTOLOGÍA I

PAQUETE DE IMPLANTOLOGÍA I