RADIOGRAFÍA

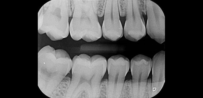
INTERPROXIMAL

Detectar lesiones incipientes a tiempo, permite tratamientos conservadores y evita sorpresas para el paciente.

INTERPROXIMAL

OTROS SERVICIOS

PREDICCIÓN ORTOGNÁTICA

PREDICCIÓN ORTOGNÁTICA

PAQUETE DE ORTODONCIA SIMPLE

PAQUETE DE ORTODONCIA SIMPLE